Los microplásticos en tu cerebro podrían causar depresión
Lo que comes podría estar infiltrándose literalmente en tu cerebro, acumulando una «cucharada» de microplásticos mientras consumimos alimentos ultraprocesados sin considerar las consecuencias neurológicas.

La acumulación de microplásticos en el cerebro humano alcanzó el equivalente a «una cucharada» según reveló la portada de «Brain Medicine».Imagen: Dreamstime Josealica/IMAGo
Los microplásticos que contienen los alimentos ultraprocesados y que se acumulan en el cerebro en «cantidades alarmantes», podrían estar contribuyendo «potencialmente» al aumento global de tasas de depresión, demencia y otros trastornos de salud mental, según cuatro estudios publicados en la revista Brain Medicine (1, 2, 3 y 4).
Los nuevos estudios sintetizan las evidencias científicas que en los últimos tiempos han ido demostrando que los microplásticos –partículas de menos de 5 milímetros que se desprenden del plástico al degradarse– se acumulan en el cerebro y podrían estar afectando a la salud mental a través de múltiples vías biológicas interconectadas.
La portada de la revista –dedicada a estos cuatro estudios– muestra un cerebro humano salpicado de coloridas partículas junto a una cuchara de plástico, una imagen que resume el hallazgo principal: que nuestros cerebros contienen aproximadamente «una cucharada» de material microplástico.
Impacto en la salud mental: nuevas evidencias científicas
Los dos primeros trabajos, sendos artículos de opinión firmados por Nicholas Fabiano (Universidad de Ottawa), Brandon Luu (Universidad de Toronto), David Puder (Universidad de Loma Linda) y Wolfgang Marx (Universidad Deakin) reúne evidencias emergentes para proponer una hipótesis novedosa que conecta el consumo de alimentos ultraprocesados, la exposición a microplásticos y los resultados en salud mental.
«Estamos viendo evidencia convergente que debería preocuparnos. Los alimentos ultraprocesados ahora suponen más del 50 % de la ingesta energética en países como Estados Unidos, y estos alimentos contienen concentraciones significativamente más altas de microplásticos que los alimentos integrales. Hallazgos recientes muestran que estas partículas pueden atravesar la barrera hematoencefálica y acumularse en cantidades alarmantes», avisa Fabiano.
Los investigadores recuerdan que, según diversos estudios, el consumo de alimentos ultraprocesados tiene resultados adversos para la salud mental. Según una reciente revisión publicada en The BMJ, las personas que consumían ultraprocesados tenían un 22 % más de riesgo de depresión, 48 % más de riesgo de ansiedad y 41 % más de riesgo de problemas de sueño.
Y es que, según los datos del estudio, alimentos como los nuggets de pollo contienen 30 veces más microplásticos por gramo que las pechugas de pollo naturales, un dato que refleja el impacto del procesamiento industrial.
Demencia y microplásticos: mecanismos biológicos compartidos
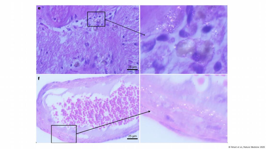
En paralelo, hallazgos recientes publicados en Nature Medicine demostraron que el cerebro contiene concentraciones alarmantes de microplásticos equivalentes «a una cuchara», una cantidad entre tres a cinco veces más alta en aquellos con diagnósticos de demencia.
«Esta hipótesis es particularmente convincente porque vemos una superposición notable en los mecanismos biológicos», subraya Marx.
«Los alimentos ultraprocesados se han vinculado a salud mental adversa a través de inflamación, estrés oxidativo, epigenética, disfunción mitocondrial y alteraciones en los sistemas de neurotransmisores. Los microplásticos parecen operar a través de vías notablemente similares», añade.
Los autores creen que para determinar si el contenido de microplásticos de los alimentos ultraprocesados es responsable de sus efectos negativos observados en la salud mental, habría que estudiar esta relación de manera más sistemática cuantificando la exposición a estos contaminantes a través del consumo de alimentos.

La imagen ilustra un estudio que demuestra que diminutas partículas de plástico pueden acumularse a niveles más altos en el cerebro humano que en el riñón y el hígado.Imagen: Nihart et al./Nature Medicine 2025
Soluciones futuras: eliminación de microplásticos del organismo
Otro de los artículos publicados hoy es un estudio de investigación que examina la posibilidad de eliminar estas partículas del organismo a través de la aféresis terapéutica, una técnica para filtrar la sangre fuera del cuerpo que, los autores creen que podría tener el potencial de eliminarlas de la circulación, aunque «se necesita mucha más investigación», apuntan.
«Si bien necesitamos reducir nuestra exposición a los microplásticos a través de mejores elecciones alimentarias y alternativas de envasado, también necesitamos investigación sobre cómo eliminar estas partículas del cuerpo humano», señala el investigador de la Universidad de Dresde (Alemania), Stefan Bornstein, y autor del estudio.
El último artículo, un editorial de la revista firmado por Ma-Li Wong y titulado «La calamidad de una cuchara de plástico en tu cerebro» sostiene que esta colección de artículos no deben verse solo como una advertencia científica sino como un cambio de paradigma en cómo debemos pensar sobre los contaminantes ambientales y la salud cerebral.
«Lo que emerge de este trabajo no es una advertencia. Es un ajuste de cuentas», avisa Wong. «La frontera entre lo interno y lo externo ha fallado. Si los microplásticos cruzan la barrera hematoencefálica, ¿qué más creemos que permanece sagrado?».
Los autores de los cuatro artículos enfatizan que, aunque se necesita más investigación primaria, sus análisis son argumento suficiente para reducir el consumo de alimentos ultraprocesados y desarrollar mejores métodos para detectar y potencialmente eliminar microplásticos del cuerpo humano.
«A medida que los niveles de alimentos ultraprocesados, microplásticos y resultados adversos para la salud mental aumentan simultáneamente, es imperativo que investiguemos más a fondo esta posible asociación», concluye Fabiano. «Después de todo, somos lo que comemos».
FEW (EFE, Genomic Press, Brain Medicine)
Fuente: DW Ciencia- Global
Mayo 2025